
A Dra. Roberta Leme é cirurgiã-dentista especialista em implantodontia e periodontia, com atuação em diversas áreas da odontologia.
Aqui você encontra atendimento humanizado, planejamento individualizado e tratamentos modernos para cuidar da sua saúde bucal com segurança, conforto e qualidade em todas as etapas.
Atendimento em diversas áreas da odontologia, com foco em qualidade, segurança e resultados duradouros, sempre respeitando as necessidades de cada paciente.
Implantes e próteses sobre implantes para substituir dentes perdidos com segurança, estabilidade e aparência natural.
Coroas e próteses planejadas para restaurar função, estética e harmonia do sorriso.
Salvamos seus dentes com tratamentos de canal precisos e eficientes, aliviando a dor e preservando sua saúde dental.
Tratamentos para gengiva e osso, incluindo cirurgias periodontais e procedimentos estéticos como gengivoplastia e recobrimento radicular.
Procedimentos cirúrgicos como extrações, dentes inclusos, biópsias e remoção de freios, com cuidado e segurança.
Tratamento de canal para eliminar dor, infecção e preservar o dente natural sempre que possível.
Atenção para o desenvolvimento saudável dos dentes das crianças, com tratamentos preventivos e corretivos.
Agende sua avaliação e descubra o tratamento ideal para o seu sorriso.
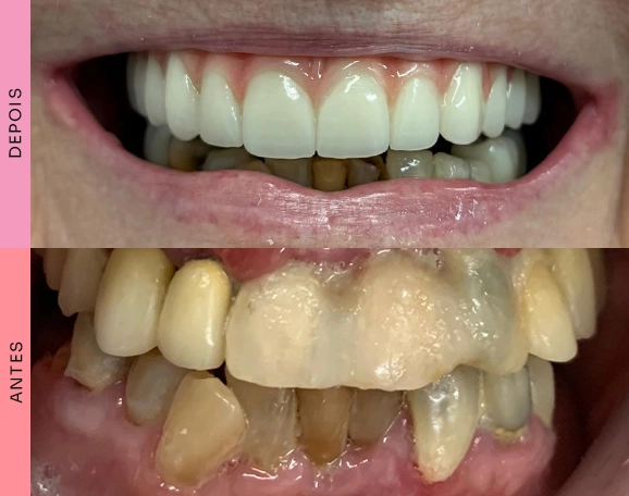
VEJA OS RESULTADOS INCRÍVEIS DE NOSSOS PACIENTES
Pronto para ver o seu sorriso transformado também? Agende sua avaliação agora.
Publicado em LisandraTrustindex verifica se a fonte original da avaliação é Google. Excelente trabalhoPublicado em Elza FerrazTrustindex verifica se a fonte original da avaliação é Google. Gosto ,da profissional...pois tem a delicadeza no cuidado...como se estivesse no meu lugar para ser tratadaPublicado em Mariana Lima HenningTrustindex verifica se a fonte original da avaliação é Google. A Dra Roberta é excelente!! Atendimento de muita qualidade e super atualizadaPublicado em alana bruna serraglioTrustindex verifica se a fonte original da avaliação é Google. A melhor de Curitiba! Confio de olhos fechados no trabalho da Roberta.Publicado em Silvana PelucaTrustindex verifica se a fonte original da avaliação é Google. Profissional super competente, sou paciente da Dra. Roberta a um bom tempo e sempre me atende com excelência. Indico.Publicado em Priscila HenselerTrustindex verifica se a fonte original da avaliação é Google. Simplesmente maravilhosa, atenciosa e muito profissional.Publicado em Armenio ManaiaTrustindex verifica se a fonte original da avaliação é Google. Top das galáxiasPublicado em L ATrustindex verifica se a fonte original da avaliação é Google. Profissional excepcional, muito caprichosa e atenciosa com minha filha e comigo.
A Dra. Roberta Leme Viaro é graduada em Odontologia pela Universidade Federal do Paraná (UFPR) e possui especialização em Periodontia e Implantodontia pela ILAPEO.
“Meu compromisso é oferecer tratamentos baseados em evidências científicas, com técnicas modernas, materiais de alta qualidade e, acima de tudo, respeito ao paciente.
Acredito que um tratamento de excelência começa com escuta, empatia e planejamento individual.”

Um consultório moderno, planejado para oferecer conforto, segurança e tranquilidade em cada atendimento.





A Dra. Roberta Leme atua em diversas áreas da odontologia, incluindo implantes dentários, próteses, restaurações estéticas, periodontia, cirurgia oral menor, endodontia (canal) e clareamento dental, sempre com planejamento individualizado.
Sim. O atendimento é humanizado e focado no conforto do paciente. Cada consulta é conduzida com escuta, empatia e explicações claras, respeitando o tempo e as necessidades de cada pessoa.
O planejamento é realizado após uma avaliação clínica detalhada, exames complementares e conversa com o paciente. Dessa forma, o tratamento é indicado de forma personalizada, segura e baseada em evidências científicas.
Sim. A Dra. Roberta Leme Viaro é cirurgiã-dentista formada pela UFPR, com especializações em Implantodontia e Periodontia pelo ILAPEO, além de constantes aperfeiçoamentos em diversas áreas da odontologia.
📍 Rua Urbano Lopes, 169 – Sala 2
Cristo Rei – Curitiba/PR
🚗 Estacionamento disponível
Dê o primeiro passo para recuperar seu sorriso com segurança e confiança.
👉 Clique no botão abaixo e agende seu atendimento

Rua Urbano Lopes, 169 – Sala 2 | Cristo Rei – Curitiba/PR